Har du hørt om MIH? Det er en forkortelse for det knap så mundrette Molar Incisor Hypomineralisation og er en tandsygdom, hvor tandens emaljedannelse bliver forstyrret, så den mangler mineral. Det gør tænderne mere udsatte for at udvikle huller.
Sygdommen viser sig især på de blivende voksentænder, der hos de fleste børn begynder at titte frem omkring 6-årsalderen, og den kan kendes på, at den giver pletter på tænderne. MIH gør tænderne mere udsatte for karies, altså huller i tænderne, og kan også gøre tænderne ekstra følsomme, så det gør ondt, når barnet spiser og drikker kolde eller varme ting.
Det forklarer Nuno Vibe Hermann, som er lektor, tandlæge, ph.d. og dr.odont. ved Odontologisk Institut på Københavns Universitet. Hun beskæftiger sig især med sygdomme og tilstande i tænder og kæber, der rammer børn og unge.
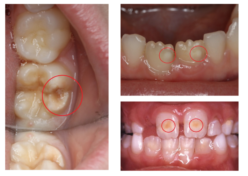
- MIH viser sig som pletter på emaljen, der kan være hvide eller cremefarvede eller mere gullige og brune. Jo mørkere pletterne er, jo værre er tilstanden. Emaljen er svag og skrøbelig i de her områder, så nogle gange falder den helt af, forklarer hun.
MIH – manglende mineral i tænderne
MIH står for Molar Incisor Hypomineralisation, hvor molar er kindtand, incisor er fortand, og hypomineralisation betyder, at der mangler mineral i tandens emalje.
Sygdommen rammer de blivende voksentænder, især de kindtænder, der bryder frem ved 6-års alderen, men kan også ramme fortænder og i sjældne tilfælde hjørnetænder.
Uvist, hvor mange der har det
Man ved ikke præcis, hvor mange der har MIH i Danmark. Det skyldes, at sygdommen ikke bliver systematisk registreret, som for eksempel karies (huller i tænderne) gør det. Nuno Vibe Hermanns vurdering er, at hvert fjerde til femte barn døjer med MIH. Diagnosen fik først sit navn for 20-25 år siden, så der er af samme grund ikke mange voksne , der har diagnosen. Der kan dog godt være voksne, der har MIH, men hvor tilstanden ikke er blevet opdaget. Hvis du er i tvivl om noget, der vedrører dine tænder eller din munds sundhed, for eksempel mistanke om MIH, bør du spørge din tandlæge til råds.
 
Skyldes ikke dårlig mundhygiejne
Årsagen til MIH er endnu ikke kendt, selvom der er blevet foretaget flere undersøgelser. Men den skyldes højst sandsynligt en kombination af flere faktorer omkring det tidspunkt, hvor tanden bliver dannet fra tidsrummet omkring fødslen og det første halvandet til to år frem, forklarer Nuno Vibe Hermann:
- Man taler om, at der er en tærskel: Hvis alle mulige parametre, der kan forstyrre tandens udvikling, optræder samtidig, så udløser det sygdommen. Der er blevet undersøgt for sammenhæng med alvorlig sygdom, høj feber, stor D-vitaminmangel og miljøgifte, men der er ikke fundet én enkelt årsag. Nyere studier peger på, at der er en genetisk komponent i, hvor sårbar man er over for at få den her sygdom, forklarer Nuno Vibe Hermann.
Det, man dog kan udelukke, er, at MIH handler om forkert tandpleje, slår tandlægen fast:
- Det er vores hovedbudskab til forældrene: Det er ikke deres skyld, hvis barnet har fået MIH.
Det vidste du (måske) ikke om tænder
- Emaljen er det yderste, tynde lag på vores tænder og er det hårdeste materiale i kroppen. 
- Ingen har det samme tandsæt. Dit tandsæt er derfor ligeså unikt som dit fingeraftryk 
- Inden opfindelsen af den moderne tandbørste med nylonhår brugte man både heste- og svinehår som børstehår. 
Netdoktor.dk og Børne- og Ungdomstandplejen, Københavns Kommune
De ramte tænder skal beskyttes
Behandlingen af MIH afhænger af, hvor svært tanden er påvirket. Mild MIH, som ikke giver barnet smerter, kan ofte behandles ved, at tænderne smøres med fluorid eller med en lak, som beskytter mod karies. Lakering hjælper ofte også på moderat MIH, hvor tanden er følsom:
- Lakeringen lægger sig som en form for regnfrakke over tanden. Det beskytter nerven mod påvirkning fra kulde og varme, og på den måde forebygger det smerter, forklarer Nuno Vibe Hermann.
Ved svær MIH kan det være nødvendigt at sætte en stål- eller guldkrone på tanden for at beskytte den. En hvid plastkrone kræver en anden teknik, og det tager både længere tid og kan i værste tilfælde beskadige nerven:
- Hvis man skal have en tandfarvet krone, skal der slibes mere af tandens emalje. Hos børn fylder nerven rigtig meget inde i tanden, og man kan derfor nemmere komme til at lave hul ind til nerven. Børn i den alder har jo heller ikke så stor tålmodighed. De kan ikke klare at sidde så lang tid i stolen, så de skal ikke have så avancerede behandlinger. Når barnet så er blevet lidt ældre og mere modent, kan man lave en lidt større behandling og skifte kronen til noget, der er tandfarvet, siger Nuno Vibe Hermann.
Heldigvis går de fleste børn ikke op i det kosmetiske i en ståltand, fortæller hun:
- De går bare op i, at de igen kan spise og drikke, som de vil for den der dumme tand.
Raske tænder kan tage pladsen
Nuno Vibe Hermann forklarer, at en tand nogle gange er så svært påvirket af MIH, at det bedste er at trække den ud. Her vil der altid være tale om kindtænder, da det er dem, der bliver ramt af den svære form for MIH. Og selvom det lyder dramatisk, kan det faktisk være en rigtig god løsning. Det efterlader nemlig plads til de raske 12-årstænder og visdomstænder, der senere bryder frem:
- Hvis vi trækker tanden ud på det rigtige tidspunkt, kan vi få 12-årstanden til at bryde frem og ‘stille sig’ på 6-årstandens plads, og så kan visdomstanden stille sig på 12-årstandens plads. På den måde kan den unge person ende med at få et helt normalt tandsæt, der fungerer godt. Det er jo også en fordel i patientens fremtidige liv, for hvis man har nogle meget behandlede tænder, så vil det være noget, som man skal have lavet om flere gange i sit voksne liv, og det koster mange penge, siger Nuno Vibe Hermann.
 
Hvis 6-årstanden er meget påvirket af MIH, er det i nogle tilfælde bedst at trække den ud. Når 12-årstanden bryder frem, kan den tage den tomme plads fra 6-årstanden. Senere tager visdomstanden 12-årstandens plads, og tandrækken “lukkes”.
Vigtigt at reagere, hvis dit barn har pletter på tænderne
- Som forælder skal man reagere, hvis man ser, at ens barn har pletter på de nye tænder, der kommer frem, for eksempel 6-årstænderne. Man skal også reagere, hvis barnet har smerter ved tandbørstning, eller når de spiser og drikker noget koldt eller varmt. Er det tilfældet, så skal man reagere og gå til tandlægen med sit barn. Man skal ikke vente på, at man får en indkaldelse til kontrol, råder Nuno Vibe Hermann.
Det gælder også, hvis man ser det på barnets mælketænder, da der findes en tilstand lig MIH, der rammer mælketænderne, kaldet HPSM (Hypomineralised Second Primary Molar). Undersøgelser har vist, at hvis barnet har denne tilstand, er der større risiko for at få MIH senere i livet.
På den måde kan man sætte gang i den rette behandling i tide og sikre det bedste udfald for tænderne.
 
Gode råd til tandpleje
- Det er altid godt med god mundhygiejne, men vi anbefaler normalt, at man blot følger de almindelige råd. Det vil sige tandbørstning to gange dagligt med fluoridtandpasta og brug af tandtråd. Så vidt det er muligt, bør man ikke børste tænder lige efter, at man har spist, men vente lidt. 
- Børn med MIH kan spise en normal kost og følge Fødevarestyrelsens kostråd og anbefalinger om slik og søde sager for aldersgruppen, siger Nuno Vibe Hermann. 
Læs mere her:
Fødevarestyrelsens kostråd til børn
Fødevarestyrelsens anbefalinger om slik og søde sager
 
Mere om øre, øjne og mund
Se flere artikler om emnet 
Misofoni: Når bestemte lyde driver dig til vanvid
For de fleste er smasken eller kliklyde irriterende, men har du misofoni, kan bestemte lyde udløse stærkt ubehag og påvirke din hverdag markant. ...
 
Tandlægeskræk: Hver fjerde dansker er bange for at gå til tandlægen
Omkring 25 % af voksne danskere oplever varierende grader af angst i forbindelse med tandlægebesøg. For en del af dem er tandlægeskrækken så slem, ...
 
Din mund er vigtig for din sundhed
For et sundt og langt liv skal vi som bekendt spise sundt, dyrke motion, mindske vores indtag af alkohol og undgå rygning. Men noget, vi måske ...